Anestezisiz ve Hızlı Tedavi Dönemi
Sivas Cumhuriyet Üniversitesi Diş Hekimliği Fakültesi Restoratif Diş Tedavisi Ana Bilim Dalı Öğretim Üyesi Prof. Dr. İhsan Hubbezoğlu, diş tedavisinde çığır açan uygulamalarıyla dikkat çekiyor. Prof. Dr. Hubbezoğlu, cam fiber post ve direkt kompozit lamina yöntemiyle, implant tedavisine ihtiyaç duymadan hastaların sağlıklı ve estetik dişlere kavuşmasını sağlıyor.
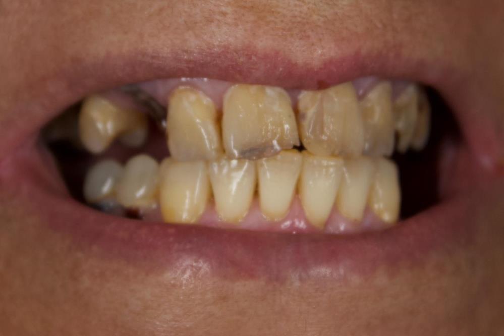
Günümüzde implant tedavisi bazı hastalarda sağlık sorunlarına yol açabiliyor. Çene yapısına uygun olmayan implantlar enfeksiyon ve kırılmalara neden olabiliyor. Prof. Dr. Hubbezoğlu ise 2 yıllık araştırma sonucunda, sağlam diş köklerine cam fiber post uygulayıp üzerine direkt kompozit lamina yaparak tedaviyi 4 seansta tamamlıyor. Uygulama sırasında anesteziye gerek duyulmuyor ve hastalar kısa sürede günlük yaşamlarına dönüyor.

Hizmet alan hastalardan Fatma Hizmetli Okumuş, “Almanya’da şifa bulamadım, Sivas’a geldim. Klinik bir vakaydım, aynaya bakamayacak haldeydim. Prof. Dr. Hubbezoğlu birkaç seansta dişlerimi hem estetik hem sağlıklı hale getirdi, ağrı hissetmedim” ifadelerini kullandı.
Prof. Dr. Hubbezoğlu, uygulamalarının Türkiye’de kısıtlı yapılan direkt kompozit laminaları geliştirerek, her gördüğü 5 hastadan 4’üne tedavi uygulayabildiğini belirtti. Tedavi süreci, laboratuvar ve teknisyen desteği olmadan, el sanatıyla hastanın dişine özel olarak gerçekleştiriliyor.

Deprem sonrası binalarda kullanılan fiber teknolojisinden esinlendiğini ifade eden Hubbezoğlu, “Yaklaşık 280 vakada cam fiber post uyguladık, kırılan olmadı. Bin 800’den fazla hastaya direkt kompozit lamina yaptık. Amacımız dişleri kesmeden, çekmeden doğal yapıyı koruyarak tedavi sağlamak” dedi.
Bu yöntemle hem sağlık hem de estetik açıdan başarılı sonuçlar elde edildiği vurgulanıyor ve implant kullanımının minimuma indirilmesi hedefleniyor.
Kaynak:İhlas Haber Ajansı


Türkçe karakter kullanılmayan ve büyük harflerle yazılmış yorumlar onaylanmamaktadır.